Loading...

Мороз Вікторія Євгенівна

Лікар - ортодонт, гнатолог

Досвід роботи - понад 8 років

Ортодонт-перфекціоніст. Ретельний підхід до діагностики та вміння працювати з різними системами корекції (брекет-системи, капи, функціональні пристрої, елайнери) дозволяють їй досягати бездоганних результатів як у дітей, так і у дорослих.

Як лікар-гнатолог, Вікторія Євгенівна приділяє особливу увагу не лише естетиці усмішки, а й правильній роботі скронево-нижньощелепного суглоба та гармонії всієї зубощелепної системи.

Педантична до точності, вона береться за найскладніші клінічні випадки та допомагає досягти ідеального прикусу як з функціональної, так і з естетичної точки зору.

Досконалість, точність і турбота - принципи, що лежать в основі кожного етапу лікування.

Професійні напрямки

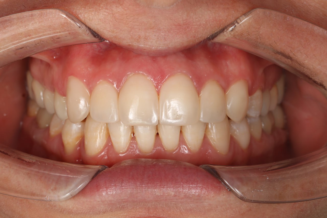
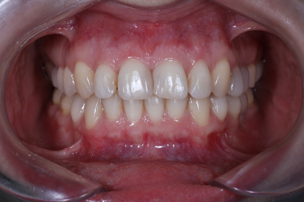
Роботи лікаря До і Після

Ціни на лікування зубів

  • Консультація ортодонта
    Консультація ортодонта

    (внутрішньоротовий огляд, аналіз додаткового обстеження (КТ-знімок), складання плану лікування)

    1500 грн
  • Ортодонтичний плановий прийом
    Ортодонтичний плановий прийом
    від 780 грн
  • Встановлення маталевої брекет-системи (1 щелепа)
    Встановлення маталевої брекет-системи (1 щелепа)
    від 25 000 грн
  • Встановлення керамічної брекет-системи (1 щелепа)
    Встановлення керамічної брекет-системи (1 щелепа)
    від 30 000 грн
  • Встановлення сапфірової брекет-системи (1 щелепа)
    Встановлення сапфірової брекет-системи (1 щелепа)
    від 35 000 грн
  • Встановлення самолігуючої металевої брекет-системи  (1 щелепа)
    Встановлення самолігуючої металевої брекет-системи (1 щелепа)
    від 35 000 грн
  • Встановлення самолігуючої керамічної брекет-системи   (1 щелепа)
    Встановлення самолігуючої керамічної брекет-системи (1 щелепа)
    від 48 000 грн
  • Встановлення одиночного брекета
    Встановлення одиночного брекета
    від 1 000 грн
  • Зняття брекет-системи (1 щелепа)
    Зняття брекет-системи (1 щелепа)
    від 2 500 грн
  • Мезіонатор Данькова
    Мезіонатор Данькова
    від 17 000 грн
  • Встановлення ретейнера (1 одиниця)
    Встановлення ретейнера (1 одиниця)
    від 450 грн
  • Розширюючий апарат
    Розширюючий апарат
    від 10 000 грн
  • Корекція прикусу елайнерами “Invisalign” Lite, повний курс
    Корекція прикусу елайнерами “Invisalign” Lite, повний курс
    180 000 грн
  • Корекція прикусу елайнерами “Invisalign” Teen, повний курс
    Корекція прикусу елайнерами “Invisalign” Teen, повний курс
    240 000 грн
  • Корекція прикусу елайнерами “Invisalign” Full, повний курс
    Корекція прикусу елайнерами “Invisalign” Full, повний курс
    280 000 грн

Поширені запитання

Ретейнер – це не просто “підстраховка” про всяк випадок. Це необхідність – інакше зуби знову займають неправильне положення, і всі ваші зусилля (так само як і праця лікаря-ортодонта) були марними. Нерідко ситуація стає ще гіршою, ніж до початку ортодонтичного лікування: сильна скупченість і нерівний, некрасивий зубний ряд.

Одне з найчастіших запитань серед пацієнтів SOCclinic у Дніпрі: “Ретейнер – на все життя?”

Відповідь залежить від багатьох індивідуальних чинників: вік, ступінь корекції, стан кісткової тканини. Якщо ортодонтичне лікування проводили дитині або підлітку (до 18 років), то, як правило, необхідно встановити ретейнер на період, удвічі більший, ніж тривало саме лікування. Дорослим пацієнтам потрібно більше часу; у деяких випадках зубний ретейнер потрібно носити все життя.

Якщо ви користуєтеся знімним ретейнером, правила гігієни для вас такі самі, як і для всіх інших: двічі на день чистити зуби, очищати міжзубні проміжки за допомогою іригатора або зубної нитки.

У разі незнімного ретейнера весь процес чимось нагадує догляд за брекетами: дуже зручно чистити зуби спеціальною ортодонтичною щіткою, а також монопучковою. А ось використання зубної нитки ускладнене: ретейнер стає фізичною перешкодою. Тому зручніший варіант – суперфлос, який завдяки твердому кінчику можна досить легко помістити між зубами. І, звісно, не забувайте про іригатор.

Догляд за капою досить простий: очищайте її двічі на день зубною пастою і щіткою (під час чищення зубів вранці та ввечері), а також обробляйте спеціальним розчином приблизно 1 раз на тиждень. А якщо знадобилося зняти ретейнер, зберігайте його в окремому контейнері.

Відповідь залежить від низки факторів: складність дефекту, вік пацієнта тощо. Наприклад, у багатьох випадках вирівнювання зубів у дітей і дорослих неможливе без розширювальних апаратів, які створюють необхідне місце на щелепі. Це комплексна робота, де кожен окремий елемент виконує свою функцію – тому некоректно говорити, що один із них ефективніший за інший.

Неправильний прикус негативно впливає на всю зубощелепну систему. Що може відбуватися:

  • Оголення шийок зубів і їх розхитування
  • Порушення розташування зубів, що може призвести до порушення процесу пережовування і ковтання їжі
  • Порушення в роботі скронево-нижньощелепного суглоба (він клацає, болить тощо)
  • Рецесія ясен через надмірне навантаження на зуби
  • Головний біль, дискомфорт у ділянці шиї та плечей

Можна, але клінічних випадків, коли це справді необхідно, дуже мало!

Навіть якщо здається, що проблема (викривлення, скупченість) лише на одній щелепі, працюємо ми таки з двома. Адже верхня і нижня щелепи тісно пов’язані між собою: кожен зуб на верхній щелепі має антагоніст – зуб, на який він спирається. Навантаження між ними має бути рівномірним.

Брекет-система не лише усуває кривизну зубів. Вона допомагає сформувати правильний прикус, щоб змикання було правильним, фізіологічним. 

Брекети на одній щелепі може і зроблять зубний ряд рівним. Але одночасно щелепи почнуть стулятися неправильно! Звідси – низка несприятливих наслідків:

  • підвищене стирання зубів
  • сколи 
  • перевантаження зубощелепної системи 

Так що здебільшого брекети на одну щелепу ставити недоцільно!

Ефективність ортодонтичного лікування у Дніпрі залежить, насамперед, від лікаря-ортодонта, а не від матеріалів, якими він користується. Тому важливо знайти свого фахівця, якому Ви будете готові повністю довіритись, щоб прийти до результату якнайшвидше.

Вся справа в рішеннях, які приймає лікар: до одного і того ж результату – рівні зуби та правильний прикус – можна прийти різними шляхами.

Крім того, швидкість лікування обмежена можливостями організму: наскільки ваша кісткова тканина піддається змінам? 18-річний пацієнт пройде лікування швидше, ніж 45-річний, навіть якщо вони використовуватимуть той самий вид брекетів і лікуватимуться в одного фахівця.

У будь-якому випадку вибір конкретного варіанту завжди обговорюється з вашим ортодонтом: це спільне рішення.

Якщо у вас встановлені брекети, приходити на плановий прийом потрібно кожні 3-4 тижні, залежно від призначень ортодонта SOCClinic у Дніпрі, для функціональних апаратів – кожні 4-6 тижнів (за часом прийом займає 30 хвилин). 

Найімовірніше, ви здивуєтеся, але вагітність не є протипоказанням для ортодонтичного лікування.

Іноді можна почути, що через зміни в гормональному фоні брекети ставити не можна. Дійсно, кісткова тканина дещо змінюється – але за правильного підходу шкоди точно не буде. Навіть навпаки, іноді виходить прискорити процес лікування (але все залежить від вашого конкретного випадку).

Перш за все, в дитинстві: з метою профілактики рекомендується привести дитину на прийом до ортодонта в 3-4 роки, щоб виявити можливі проблеми з прикусом. Що раніше відбудеться перша консультація, то краще.

У дорослому віці лікар ортодонт потрібен, якщо вас щось не влаштовує в усмішці: скупченість, викривлення зубів тощо.