Loading...

Шинкаренко Алина Олеговна

Детский стоматолог
Опыт работы — более 7 лет

Детский стоматолог с суперспособностью — находить общий язык даже с самыми взволнованными и непоседливыми детьми. Алина Олеговна не просто лечит кариес — она помогает ребёнку преодолеть страх перед стоматологическим креслом и почувствовать себя в безопасности.

Её подход основан на заботе, понимании и индивидуальном контакте с каждым маленьким пациентом. Алина Олеговна имеет квалификацию для проведения лечения как под общим наркозом, так и под закись-азотной седацией, что делает возможным комфортное лечение даже в сложных случаях.

Комплексное лечение всех зубов у ребёнка за одно посещение — её профессиональная суперсила. Благодаря опыту, теплоте и вниманию, дети с радостью возвращаются к ней на приём, а родители знают: їх дитина — у надійних руках.

Забота, доверие и профессионализм — ключевые принципы работы Алины Олеговны.

Профессиональные направления

Цены на лечение зубов

  • Консультация детского стоматолога
    Консультация детского стоматолога

    (адаптация ребенка, внутриротовой осмотр, составление плана лечения)

    800 грн
  • Консультация детского стоматолога
    Консультация детского стоматолога

    (адаптация ребенка, внутриротовой осмотр, дополнительная диагностика (рентген-снимки),составление плана лечения )

    1000 грн
  • Профессиональная гигиена полости рта от 2 до 5 лет
    Профессиональная гигиена полости рта от 2 до 5 лет

    (профессиональная чистка щеткой со специальной пастой, и при необходимости, использование ультразвука)

    1500 грн
  • Профессиональная гигиена полости рта от 6 до 11 лет
    Профессиональная гигиена полости рта от 6 до 11 лет

    (профессиональная чистка щеткой со специальной пастой, использованием ультразвука, и по необходимости, порошковой системы Air-Flow)

    2000 грн
  • Профессиональная гигиена полости рта от 12 лет
    Профессиональная гигиена полости рта от 12 лет

    (профессиональная гигиена, состоящая из 5 этапов: индикация зубного налета, ультразвук, порошковая система Air-Flow, полирование щеткой со специальной пастой. При необходимости использования чистки с ручными инструментами)

    2500 грн
  • Лечение кариеса молочного зуба
    Лечение кариеса молочного зуба
    от 1200 грн
  • Лечение корневых каналов
    Лечение корневых каналов
    от 1800 грн
  • Герметизация фиссур
    Герметизация фиссур
    от 1050 грн
  • Лечение кариеса на стадии пятна (Icon)
    Лечение кариеса на стадии пятна (Icon)
    от 1200 грн
  • Удаление молочного зуба
    Удаление молочного зуба
    от 1000 грн
  • Коронка металлическая
    Коронка металлическая
    1350 грн
  • Коронка циркониевая
    Коронка циркониевая
    2650 грн
  • ЗАКС (закись-азотная седация) 30 минут
    ЗАКС (закись-азотная седация) 30 минут
    1200 грн
  • Компьютерная анестезия
    Компьютерная анестезия
    600 грн
  • Аппликационная анестезия
    Аппликационная анестезия
    100 грн
  • Наркоз (Севоран+Пропофол) первый час
    Наркоз (Севоран+Пропофол) первый час
    6000 грн
  • Наркоз (Севоран+Пропофол) каждый последующий час
    Наркоз (Севоран+Пропофол) каждый последующий час
    4500 грн

Частые вопросы

  • Этот вид наркоза безопасен для детей и не вызывает побочных эффектов;
  • Газ не влияет на состояние внутренних органов;
  • Не снижает артериальное давление;
  • Быстро выводится из организма через легкие;
  • После пробуждения у ребенка нет неприятных ощущений, тошноты и рвоты.

Сонливое состояние, притупленная реакция, легкое головокружение. Но все возможные проявления проходят в первые полчаса после выхода из сна, и ребенок полностью возвращается к своему нормальному самочувствию.

Мы всегда стараемся сделать всю работу за одно посещение, особенно детям до 5 лет. Тем более, что наркоз позволяет значительно сократить время лечения или удаления одного зуба. За одну процедуру можно вылечить до 20 зубов, в среднем на это уходит 4 часа.

Есть индивидуальные противопоказания, которые может выявить анестезиолог после тщательного анализа состояния здоровья ребенка и перенесенных заболеваний, а также дополнительного обследования, которое обязательно надо пройти перед лечением в наркозе (общий анализ крови, ЭКГ).

Мы сделаем все возможное, чтобы вернуть ребенку здоровую улыбку в комфортной, теплой и дружеской атмосфере. В SOCclinic используется самое современное оборудование и работает команда опытных врачей – профессионалов своего дела.

Лечение во сне – это надежный способ решить проблемы с детскими зубами и ни о чем не беспокоиться.

В данном случае в SOC clinic Днепр рекомендуем лечение во сне с помощью безопасного газа Севоран. Ребёнок засыпает у вас на руках, а затем мы проводим необходимое лечение без страха, слёз и стресса.

Наш ответ: однозначно да! Молочный зубик так же болит, как и постоянный, причиняет ребёнку дискомфорт, что приводит к нарушению жевательной функции. Более того, своевременное лечение кариеса на молочных зубах позволяет избежать распространения инфекции по всему организму.

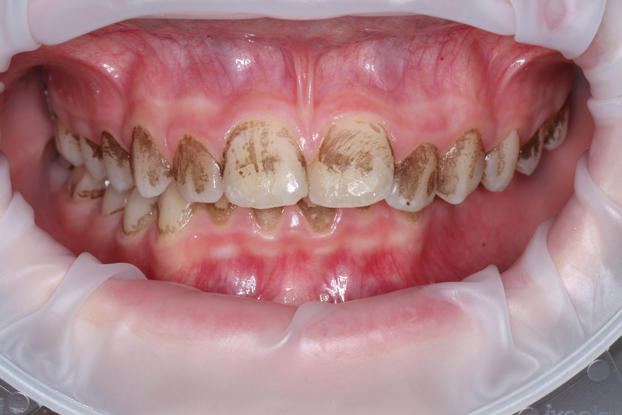
Во многих случаях невозможно достоверно определить, есть ли кариес, невооружённым глазом. Иногда на поверхности можно заметить светлое пятнышко: это явный сигнал о том, что необходимо как можно скорее провести лечение кариеса в стадии пятна, ведь у детей он прогрессирует очень быстро.

Лечение кариеса молочных зубов может проходить как в наркозе, так и без наркоза. Если есть сомнения, какой способ подойдёт именно в вашем случае, мы всегда поможем сориентироваться. 

Показаний для удаления молочных зубов не так много: сильное разрушение кариесом, когда зуб не подлежит восстановлению, рост постоянного зуба (при этом временный ещё не выпал), подвижность молочного зуба – но при этом он долго не выпадает самостоятельно.

Болезненные ощущения в среднем проходят в срок до 3 дней. Если этого не произошло, рекомендуем обратиться к специалисту, чтобы выяснить причину и получить необходимую помощь.

Детский стоматолог SOC clinic в Днепре рекомендует: в первые 2 часа после удаления молочных зубов детям важно воздержаться от питья и еды. Объясните ребёнку, что не нужно обследовать место удаления языком.

В первые сутки после удаления желательно давать ребёнку охлаждённую протёртую пищу. Жевать нужно на стороне, противоположной той, где удалили зуб.

Удаление детских молочных зубов – не повод забывать о домашней гигиене. Чистка зубов и полоскание полости рта должны быть очень деликатными, мягкими.

При возникновении болезненных ощущений дайте ребёнку обезболивающее по согласованию с врачом.

Десна может болеть 2-3 дня. При этом в лунке формируется соединительная ткань, которая к концу первой недели затягивает её.

Лучше всего не вырывать молочный зуб, а позволить ему выпасть самостоятельно. Но если всё-таки удаления не избежать, советуем проводить его в первой половине дня, когда ребёнок ещё не устал. К тому же в запасе у вас будет время до вечерней чистки зубов: за несколько часов десна слегка восстановится.

Такая ситуация – одно из показаний к удалению молочных зубов. Важно вовремя провести процедуру, чтобы постоянный зуб занял правильное положение в зубном ряду – иначе в будущем сформируется неправильный прикус.

Процедура несколько отличается от удаления зубов у взрослых: используются особые детские инструменты меньшего размера, которые фиксируют зуб более свободно (иначе молочный зуб может расколоться). В остальном же последовательность действий такая же, как у взрослого пациента: сначала доктор SOC clinic Днепр проводит обезболивание, а затем проводит необходимые манипуляции.

Главная задача детской стоматологии заключается в профилактике заболеваний полости рта у детей, включая кариес, стоматит и др. Поэтому консультация стоматолога является комплексной. Она направлена на внутриротовой осмотр, диагностику (рентген) и составление плана лечения в случае обнаружения стоматологических проблем.

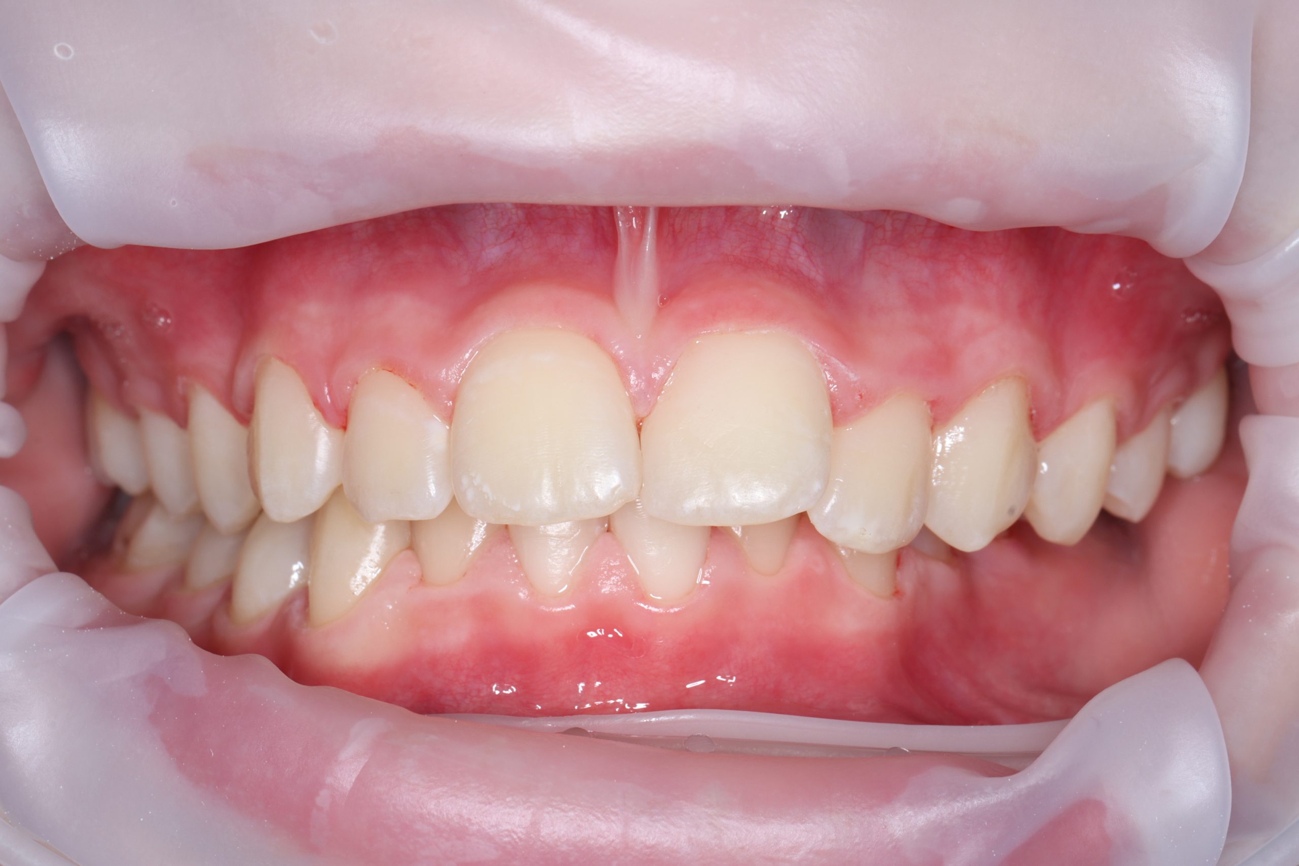
Осмотр включает оценку общего состояния ротовой полости, проверку подвижности зубов, наличия кариеса, воспалительных процессов, дефектов и патологий.

Также, на консультации врач выслушивает жалобы пациента, изучает снимки, отвечает на вопросы родителей относительно профилактики, гигиены и лечения, дает рекомендации по уходу за ротовой полостью, чистке зубов, подбору гигиенических средств, питанию. 

При выявлении проблем с зубами специалист подбирает эффективные методы лечения, рассчитывает стоимость услуги и дает прогноз. При желании в конце осмотра родители могут записать ребенка на следующий прием к врачу. Для получения более подробной информации о прохождении стоматологического осмотра и записи на консультацию свяжитесь с нами удобным для вас способом.

И зубной врач, и детский стоматолог занимаются лечением зубов, десен и слизистой ротовой полости. Отличаются эти врачи своей специализацией и подходом к пациентам.

Зубной врач работает со взрослыми. Может оказывать широкий спектр услуг, но как правило, является узкопрофильным специалистом – стоматолог-терапевт, стоматолог-хирург, ортодонт, имплантолог. 

Детский стоматолог работает только с детьми. Он обладает глубокими знаниями о строении молочных и коренных зубов, развитии детского организма. Занимается профилактикой, лечением, удалением зубов и коррекцией зубного ряда. Такой специалист подбирает щадящие методы лечения, безвредные способы анестезии и безопасные материалы для пломбирования. Помимо этого, он разбирается в детской психологии, поэтому может найти подход к каждому ребенку с учетом его возраста, создать дружелюбную обстановку и провести осмотр в игровой форме, чтобы не вызывать чувство страха.

Что делает детский стоматолог:

  • лечит кариес и другие заболевания в полости рта с применением безопасных материалов и медикаментов, включая анестетики;
  • удаляет молочные зубы без боли и стресса – во сне (седация) или с использованием анестезии;
  • выполняет герметизацию фиссур для защиты от налета и развития кариеса (заполнение борозд и углублений специальной пастой);
  • занимается восстановлением зубов для обеспечения формирования правильного прикуса (наращивание, установка коронок);
  • укрепляет эмаль с помощью фторирования или реминерализации;
  • выполняет другие задачи.

В SOCclinic Днепр возможно лечение и удаление зубов в медикаментозном сне, что делает любые процедуры безболезненными. В таком случае маленькие пациенты идут к стоматологу без страха и сопротивления. В сложных ситуациях лечение можно выполнить не за один прием, а за несколько визитов, чтобы не утомлять ребенка. Независимо от проблемы, наши стоматологи внимательно относятся к каждому пациенту и делают его пребывание в клинике максимально комфортным. Для записи на консультацию к детскому зубному врачу позвоните по телефону, напишите в мессенджер или социальные сети, указанные на нашем сайте.

Профилактические осмотры у стоматолога должны быть регулярными. Рекомендуется показывать детей врачу 2-4 раза в год в зависимости от состояния зубов. При этом, есть ряд показаний и симптомов, когда нельзя ждать планового осмотра, а необходимо обратиться к специалисту в срочном порядке. Среди них:

  • темные и белесые пятна на зубах;
  • свищ или опухоль на десне;
  • налет и воспаления в ротовой полости (стоматит, герпес, кандидоз);
  • припухлость десны, изменение цвета зуба, жжение или зуд во рту;
  • язвочки на языке;
  • отек щеки;
  • жалобы на острую боль или боль, дискомфорт во время еды;
  • кровоточивость десен;
  • шатающиеся зубы;
  • травмы зубов (трещины, сколы, переломы).

Помимо этого, запланировать визит к стоматологу можно по таким причинам:

  • скопление налета на зубах и неприятный запах изо рта;
  • видимые дефекты (нетипичная форма зубов, наросты, неправильное расположение);
  • задержка в прорезывании зубов;
  • проблемы с дикцией и речью;
  • необходимость удаления молочных зубов по причине того, что они мешают росту постоянных;
  • аномалии прикуса;
  • патологии уздечки языка и др.;
  • наличие эстетических недостатков, таких как заячья губа или кривые зубы;
  • для профилактики – чистка, проверка состояния зубов и десен.

Для оценки состояния зубов и выявления проблем необходимо прийти на консультацию к детскому стоматологу. После осмотра и диагностики врач поставит диагноз, установит причину заболевания и составит подходящий возрасту ребенка план лечения. Чтобы записаться на прием, позвоните по телефону, свяжитесь с нами в Telegram или социальных сетях.

Если у ребенка нет выраженных проблем с зубами, уздечкой языка или верхней губы, отсутствуют болевые ощущения и дискомфорт, на профилактический прием его можно привести, когда ему исполнится один год. После этого следует посещать стоматолога регулярно каждые полгода. В случае, если врач выявит какие-то проблемы, могут понадобиться более частые визиты в стоматологическую клинику – каждые 3-4 месяца.

При этом, стоматологи рекомендуют показать ребенка врачу при появлении у него первого зуба. Это поможет оценить развитие челюстей, проверить состояние десен и дать рекомендации по коррекции прикуса, чтобы избежать проблем в будущем.

Для получения более подробной информации о стоматологическом осмотре детей и чтобы записаться на прием к специалисту, свяжитесь с нами одним из таких способов на ваш выбор – по телефону, в Telegram или социальных сетях Facebook и Instagram.