Loading...

Беспалов Дмитрий Андреевич

Стоматолог-хирург, ортопед
Опыт работы — более 7 лет

Стоматолог-хирург и ортопед, который решает самые сложные задачи. Синус-лифтинг, удаление зубов, пластика дёсен — все эти манипуляции он проводит с математической точностью и педантичностью.

Коронное умение врача — имплантация и протезирование по системам All-on-4 и All-on-6, что позволяет восстановить зубной ряд даже в самых критических ситуациях. Дмитрий Андреевич уделяет особое внимание вопросам функциональности и поэтапно планирует лечение, что обеспечивает безупречный, предсказуемый результат на долгие годы.

Математическая точность, профессионализм и забота — формула, с которой начинается новая улыбка.

Профессиональные направления

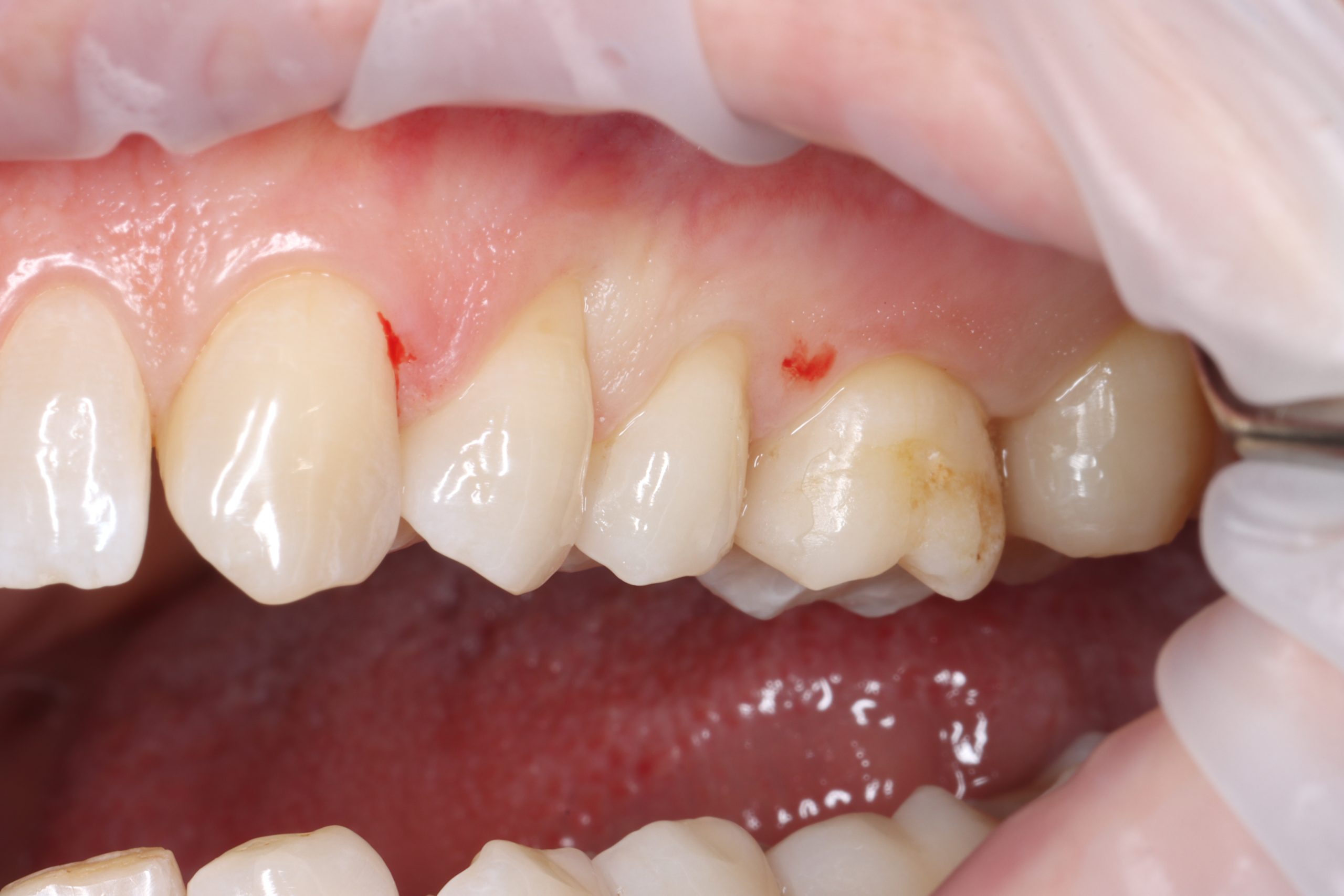
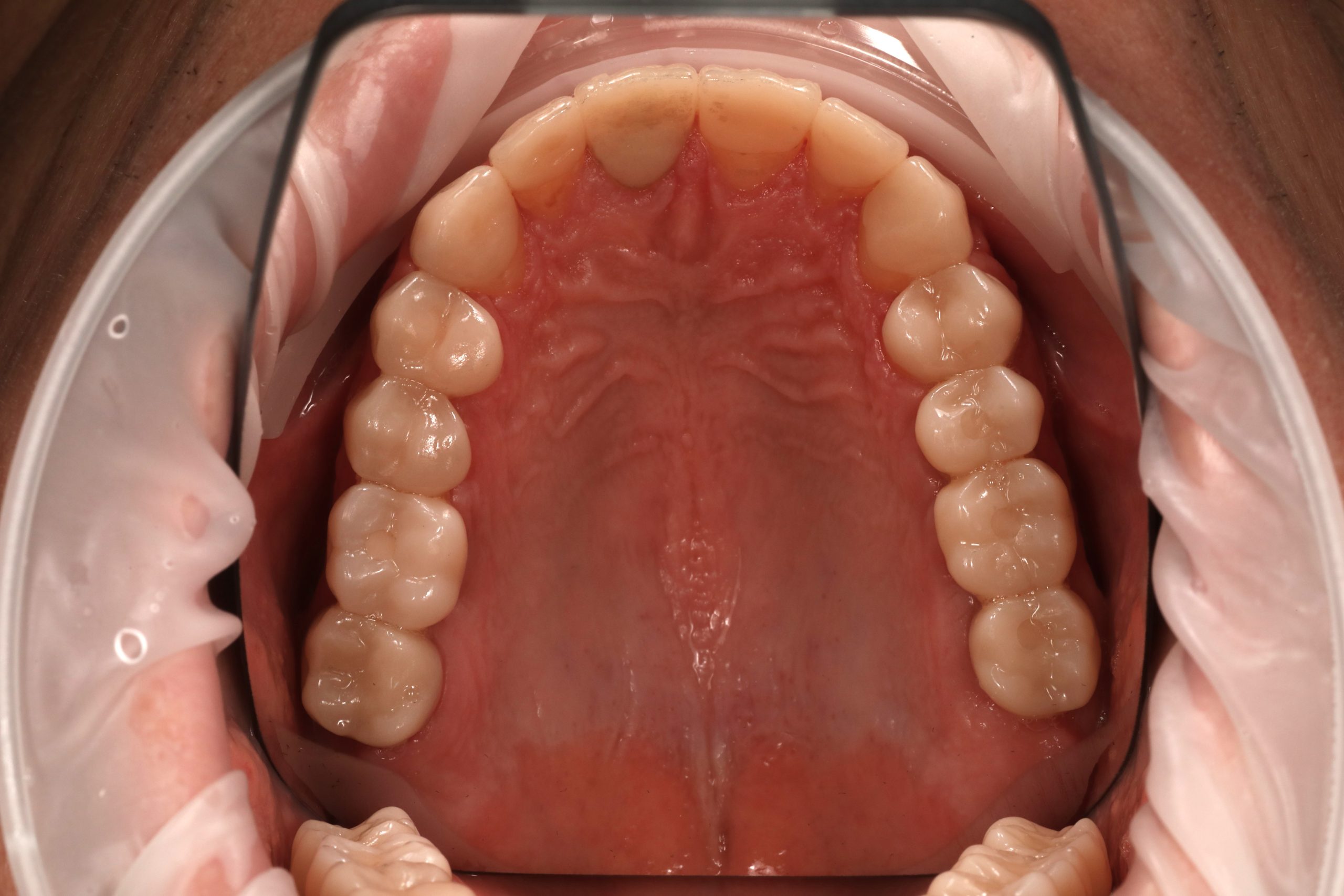
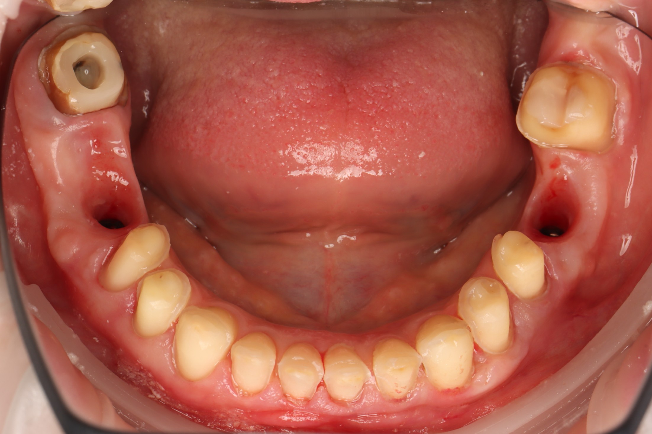
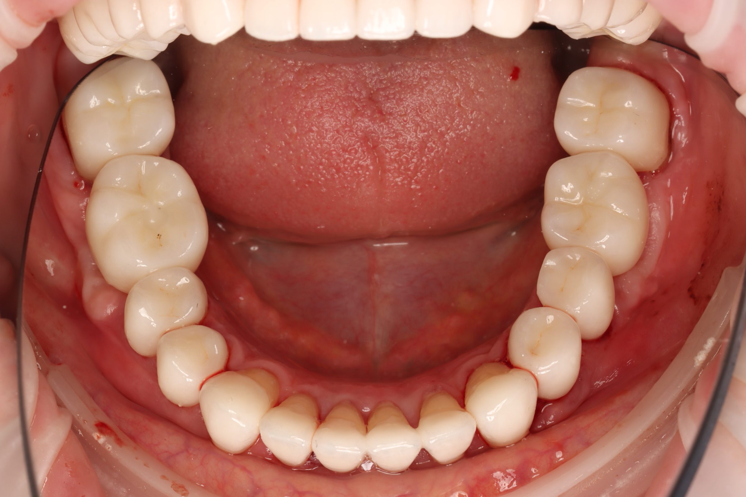
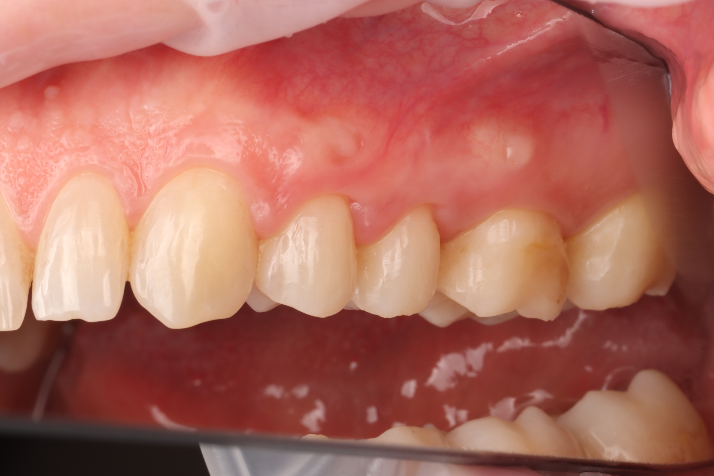
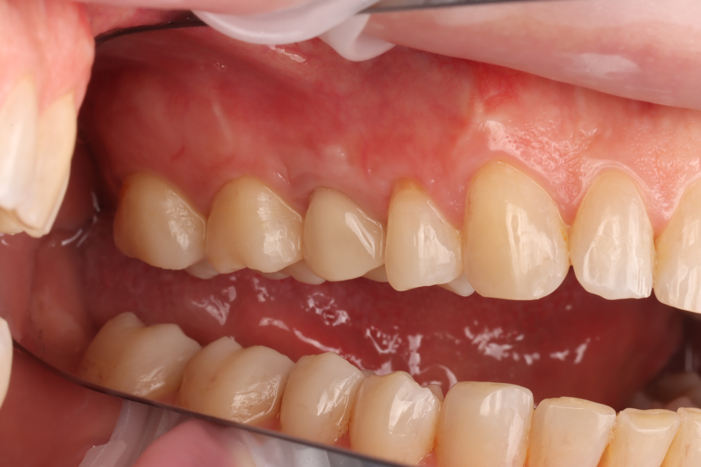
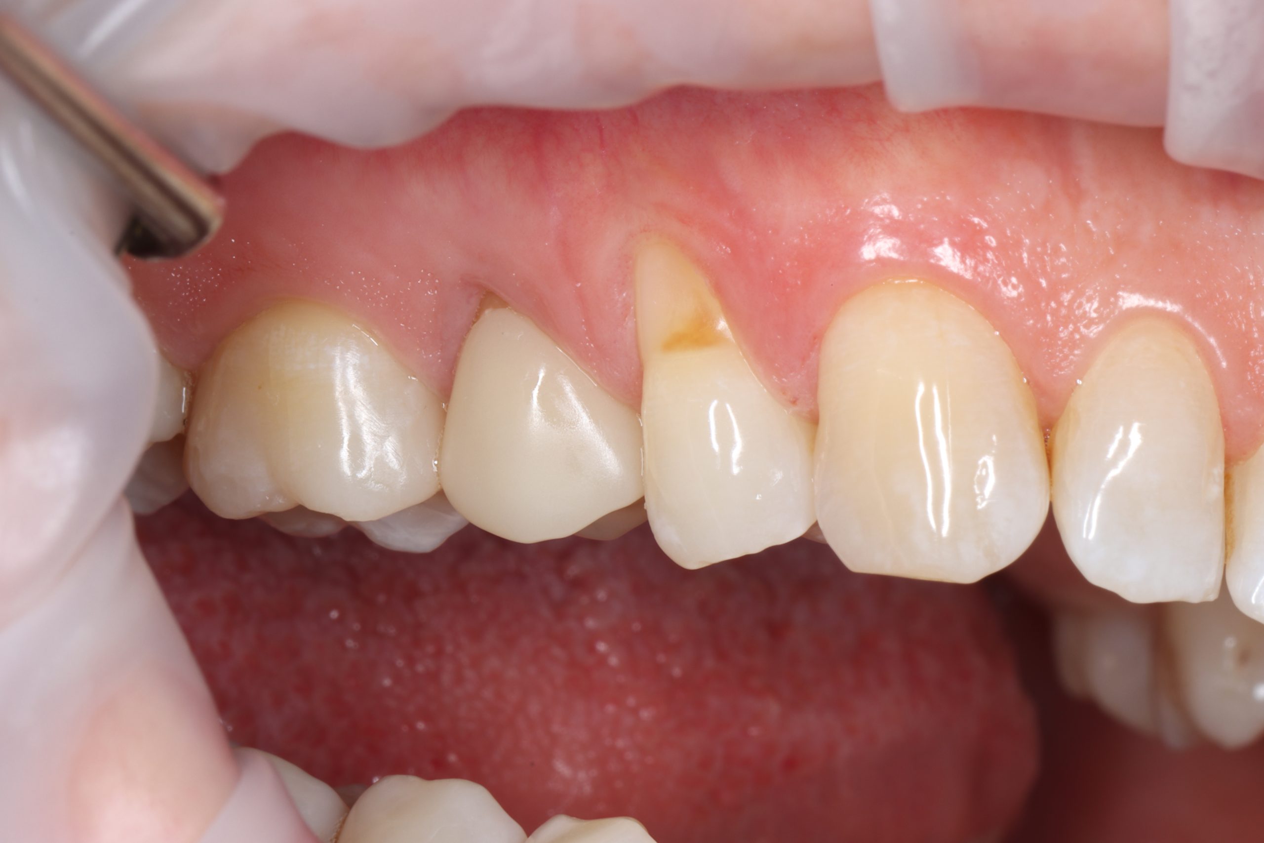
Работы врача До и После

До

После

До

После

До

После

До

После

Цены на лечение зубов

  • Консультация хирурга
    Консультация хирурга

    (внутриротовой осмотр, анализ дополнительной диагностики (КТ-снимок), составление плана лечения)

    1000 грн
  • Удаление зуба
    Удаление зуба
    от 2000 грн
  • Удаление 8-го зуба
    Удаление 8-го зуба
    от 3500 грн
  • Удаление сверхкомплектного, ретинированного зуба
    Удаление сверхкомплектного, ретинированного зуба
    от 6000 грн
  • Удаление зуба с использованием пьезотома Variosurg 3
    Удаление зуба с использованием пьезотома Variosurg 3
    от 8000 грн
  • Плазмотерапия PRGF сгусток
    Плазмотерапия PRGF сгусток
    от 4750 грн
  • Синуслифтинг закрытый
    Синуслифтинг закрытый
    от 9000 грн
  • Малоинвазивный синуслифтинг
    Малоинвазивный синуслифтинг
    от 13500 грн
  • Синуслифтинг открытый
    Синуслифтинг открытый
    от 19000 грн
  • Мягкотканная пластика
    Мягкотканная пластика
    от 7500 грн
  • Имплант Helix Bauer`s (Украина)
    Имплант Helix Bauer`s (Украина)
    от 11 200 грн
  • Имплант Asper Bauer’s (Украина)
    Имплант Asper Bauer’s (Украина)
    от 19000 грн
  • Имплант, Straumann, Швейцария
    Имплант, Straumann, Швейцария
    от 27500 грн
  • Наркоз (Севоран+Пропофол) первый час
    Наркоз (Севоран+Пропофол) первый час
    6000 грн
  • Наркоз (Севоран+Пропофол) каждый последующий час
    Наркоз (Севоран+Пропофол) каждый последующий час
    4500 грн

Частые вопросы

Если вам показан синус-лифтинг открытый, цена на него в нашей клинике SOC clinic Днепр начинается от 15000 грн. Точную стоимость мы сможем сказать по результатам комплексной диагностики с учётом всех особенностей вашего случая.

Вопрос о том, какой метод лучше или хуже, некорректен: назначая тот или иной вариант, мы учитываем клиническую картину.

Если вспомнить, чем отличается закрытый синус-лифтинг от открытого, то в первом случае можно нарастить не более 4 мм тканей. Поэтому закрытый синус-лифтинг применим там, где кость начала убывать сравнительно недавно. И наоборот: если зуб отсутствует давно (более года) и костной ткани осталось мало, то открытый синус-лифтинг – единственно возможный вариант.

Чтобы мягкие ткани десны восстановились, требуется около 7 дней, иногда – до двух недель. Сама же костная ткань формируется в течение 6-8 месяцев.

Да, во многих случаях синусовый лифтинг не требуется. Например, сразу после удаления зуба пациенту часто можно провести одномоментную имплантацию с немедленной нагрузкой. Также, если зуб был потерян недавно, скорее всего, костная ткань не успела атрофироваться – а значит, можно обойтись без синус-лифтинга.

Однако окончательное решение о том, необходим ли закрытый или открытый синус-лифтинг, принимает врач по результатам диагностики.

Для консультации с доктором SOCclinic в Днепре позвоните за номером +38 (097) 930 02 66 для записи.

Если вам показан открытый синус-лифтинг, то объём имеющейся костной ткани небольшой – скорее всего, его не хватит для надёжной стабилизации импланта. Поэтому, как правило, открытый синус лифтинг – это подготовительный этап, а спустя 6-8 месяцев можно ставить искусственный корень.

В плане имплантации зубов All-on-4 цена играет немаловажную роль. В нашей клинике SOCclinic Днепр стоимость несъёмного протеза на имплантах из металлокерамики составляет от 66000 грн. Стоимость имплантов, на которые эту конструкцию будем устанавливать, варьируется в зависимости от производителя и объёма предстоящей работы.

Все 4 импланта устанавливают за один приём. В среднем имплантация All-on-4 занимает около 2-3 часов в зависимости от конкретного случая и мастерства хирурга-имплантолога, который проводит операцию.

Говорить о конкретных сроках не совсем корректно, т.к. всё зависит от того, как вы будете ухаживать за улыбкой, насколько тщательно будете соблюдать правила домашней гигиены и посещать врача в целях профилактики.

Если всё делать правильно, то система имплантации All-on-4 может подарить вам улыбку на десятилетия и прослужить всю жизнь.

Немаловажную роль здесь играет, конечно, соблюдение протокола и точность манипуляций, проводимых имплантологом. Наши специалисты обладают значительным опытом в области стоматологической хирургии и в частности – в вопросах All-on-4 имплантации

Кроме того, мы в SOC clinic Днепр используем самое современное оборудование, от КТ-сканера на этапе диагностики до цифровых шаблонов, с помощью которых каждый из четырёх имплантов займёт правильную позицию. А значит, вы можете быть уверены, что работа проведена безупречно.

Решение о необходимости All-on-4 всегда принимается индивидуально, исходя из клинической картины и противопоказаний. Классический пример – полное отсутствие зубов; также эту технику могут использовать при множественном отсутствии зубов и значительном поражении тех, что остались.

Имплантация зубов по технологии All-on-4 проходит под компьютерной анестезией: мы рассчитываем необходимое количество препарата и участок, куда его нужно ввести для лучшего эффекта обезболивания.

После этого доктор приступает к работе. Если требуется удалить зуб, то эта операция совмещается с установкой имплантов.

Далее с помощью навигационного шаблона имплантолог определяет участок, куда нужно установить имплант – и вживляет его. Два искусственных корня располагаются в переднем отделе (в зоне улыбки), два других – по бокам под углом.

Когда все 4 импланта на месте, вам устанавливают временный протез. Через 3-6 месяцев его заменяют на постоянную несъёмную конструкцию – и вы наслаждаетесь безупречным результатом!

Если мы говорим об All-on-4 имплантации под ключ, то цена всегда рассчитывается индивидуально. Она складывается из стоимости предварительных подготовительных работ (санация полости рта), стоимости четырёх имплантов, а также стоимости несъёмной конструкции и работы врача.

Показания к пластике десны бывают эстетическими и функциональными. В первом случае они связаны только с вашим желанием получить более гармоничную улыбку. Например, при так называемой “десневой улыбке”, когда десна обнажается избыточно (более 1-2 мм), мы можем порекомендовать пластику верхней десны. 

Функциональные показания касаются здоровья зубов и их функциональных возможностей. Так, пластика мягких тканей вокруг имплантатов необходима не только для красивого, ровного края, но и для того, чтобы имплант прочно закрепился на своём месте. А при пластике рецессии десны и лечении пародонтальных карманов речь идёт о сохранении зуба: пластика десны предотвращает его расшатывание и выпадение.

Такой подход нельзя считать правильным. Пластика десны при имплантации проводится до установки импланта или одновременно с ним, чтобы искусственный корень смог нормально прижиться: если мягких тканей недостаточно, растёт риск его отторжения.

Пластика контура десны может осуществляться разными способами: с использованием лоскутной техники, при помощи саморассасывающихся мембран или с пересадкой тканей. Выбор подходящего метода зависит от конкретного поставленного диагноза доктором в SOC clinic Днепр, целей пластики слизистой полости рта, дальнейших планов (например, установка импланта).

Сама по себе десна не может подняться, и не существует никаких способов “вырастить” её, не прибегая к операции. Пластика контура десны под руководством стоматолога-хирурга в SOC clinic Днепр – единственный путь, который поможет добиться правильной эстетики и устранить функциональные проблемы (чувствительность зуба, расшатывание и т.п.)

Опущение десны – сигнал о том, что мягкие ткани по какой-либо причине травмируются. Это может быть неправильная гигиена и слишком агрессивная чистка зубов, скопление зубного камня при отсутствии профессиональной чистки у стоматолога, а также патологии прикуса.

Прежде всего, нужно найти причину – почему мягкие ткани убывают – а затем устранить её. Например, если дело в неправильном прикусе, понадобится помощь врача-ортодонта. Далее специалисты SOC clinic Днепр подберут для вас подходящий хирургический метод закрыть рецессию.

SOCClinic в Днепре не рекомендует установку импланта зуба до 18 лет. 

Верхней возрастной планки нет. Самое главное — чтобы состояние костной ткани было удовлетворительным и отсутствовали противопоказания к процедуре. В нашей практике уже было немало пациентов, которые решились на имплантацию после 50, 60 лет — сейчас они наслаждаются своей обновлённой улыбкой.

В среднем установка занимает около 60 минут, не считая предварительных процедур (обезболивание, удаление зуба). 

Удаление импланта зуба в Днепре — крайняя мера, на которую приходится идти в случае развития переимплантита, или воспалительного процесса в костной ткани. 

Происходит это очень редко: приживаемость современных имплантов высокая, более 97%. Почти всегда переимплантит связан с тем, что пациент не соблюдает рекомендации по послеоперационному восстановлению; также возможная причина воспаления — некачественно проведённая имплантация.

Некоторые производители указывают гарантийный срок на свою продукцию.

Но фактически срок службы имплантов не ограничен: они могут прослужить вам всю жизнь при правильном домашнем уходе за полостью рта и регулярной профгигиене у стоматолога.

Цена зубного импланта варьируется от 16 000 грн. Цена на имплантацию зубов в Днепре зависит от сложности случая и объёма подготовительных работ, квалификации хирурга-имплантолога, производителя импланта и конкретного вида имплантов, который доктор рекомендует вам.

Метод All-on-6 направлен в первую очередь на пациентов с недостаточностью костной ткани средней степени. Такое происходит, когда зубы отсутствовали длительное время.

У каждого человека это происходит по-разному, но в среднем спустя год после удаления зубов мы уже наблюдаем значительные изменения в структуре тканей, которые чаще всего требуют работы по протоколу All-on-6.

Как правило, протезы на 6 имплантах состоят из 12-14 коронок. Это позволяет обеспечить максимально естественный результат в зоне улыбки и одновременно – полностью восстановить жевательную функцию и распределить нагрузку на всю челюсть равномерно.

Основное показание для имплантации и протезирования зубов на 6 имплантах – это полное отсутствие зубов на одной или обеих челюстях в сочетании со средней степенью резорбции (убыли) кости. Также мы много работаем с пациентами, которые носят съёмный протез и испытывают из-за этого дискомфорт.

Оценив клиническую картину и уточнив, есть ли противопоказания, доктор может порекомендовать вам данный протокол или подобрать альтернативный вариант. 

Процедура длится сравнительно недолго. В большинстве случаев удаление кисты на корне зуба занимает не более 1 часа (чаще 30-40 минут).

Подробнее об этапах лечения. «Удаление кисты зуба Днепр» в разделе «Способы удаления кисты зуба».

Невозможно дать какие-либо временные рамки, не зная конкретного случая. Иногда счёт идёт буквально на недели и даже дни.

В любом случае, киста – это опасный источник инфекции в организме, который необходимо удалить как можно скорее.

В противном случае можно столкнуться с неблагоприятными последствиями. Например, если не провести вовремя удаление кисты зуба верхней челюсти, то есть риск, что инфекция проникнет в полость гайморовой пазухи с последующим развитием гайморита.